Studio Dentistico Dott. Pierluca Vivaldini
I Casi Clinici
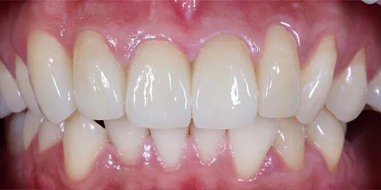
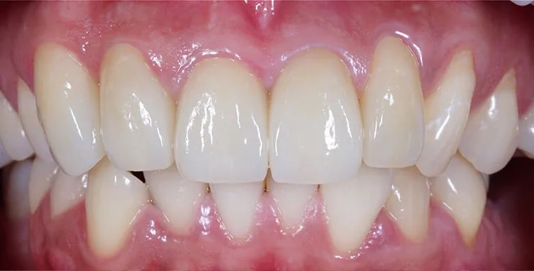
Faccette Estetiche
Il nuovo sorriso di Miriam
Dall'insicurezza al sorriso perfetto
Una giovane paziente, insicura per i suoi denti disallineati, ha trovato la soluzione con un trattamento ortodontico combinato alle faccette dentalei: dopo mesi di cure, ha finalmente sorriso senza timore.
Invisalign
La trasformazione del sorriso di Marta
Quando il sorriso evolve con scienza e tecnologia
Rimosso i denti del giudizio: il percorso verso un sorriso armonioso prosegue con Invisalign: estetica, funzione e innovazione in perfetta sinergia.
Invisalign
La trasformazione del sorriso di Dounia
"Invisalign: l’evoluzione del tuo sorriso con discrezione e precisione."
Con Invisalign, sta ottenendo un sorriso allineato senza fastidi né compromessi. Comfort, estetica e precisione per un cambiamento discreto ed efficace.


La protesi mobile come alternativa agli impianti dentali?
Il nuovo sorriso di Adelaide
Scopri come una protesi totale superiore può aiutarti a ritrovare un sorriso e a mangiare.
(è stata garantita la privacy della paziente)
Faccette in Porcellana
è stata garantita la privacy dei pazienti
Armonia e Bellezza
Le faccette dentali trasformano il tuo sorriso in modo rapido e naturale, correggendo imperfezioni per un’estetica impeccabile


Il potenziale della zirconia stratificata
Ricostruzione estetica di un sorriso
E' stata garantita la privacy dei pazienti












