Affidarsi a un professionista significa scegliere un punto di riferimento per il tuo sorriso, oggi e negli anni a venire.
Sei sulla pagina dedicata alle cure e ai trattamenti dello Studio Dentistico del Dott. Pierluca Vivaldini. Ci troviamo a Gambara, in provincia di Brescia, una posizione che ci permette di accogliere pazienti anche dalle vicine province di Mantova e Cremona.
L'idea che ci guida ogni giorno è semplice: ascoltarti, capire le tue esigenze e costruire insieme un percorso di cura su misura. Perché la salute orale non è solo una questione di denti sani, ma di benessere complessivo e qualità della vita.
Competenza che si Rinnova
La medicina orale cambia in fretta. Nuovi materiali, tecniche più precise, protocolli meno invasivi. Il Dott. Vivaldini e il suo team dedicano tempo e risorse alla formazione continua, proprio per offrirti sempre il meglio della ricerca odontoiatrica, senza doverti spostare da Gambara o dai comuni limitrofi.
Tecnologia per la Tua Sicurezza
Avere strumenti avanzati significa fare diagnosi più accurate e cure più confortevoli. Nel nostro studio utilizziamo apparecchiature digitali che riducono i tempi e aumentano la precisione. Un dettaglio che fa la differenza.
Cure e trattamenti odontoiatrici
Prevenzione: L’Investimento più Importante per la Salute Orale
La prevenzione è il pilastro di un sorriso sano. Controlli regolari permettono di intercettare problematiche prima che diventino dolorose o complesse.
Igiene Orale Professionale
Le sedute di igiene professionale non si limitano alla pulizia superficiale. Rimuovono tartaro e batteri in aree difficili da raggiungere con lo spazzolino, prevenendo carie, gengiviti e alitosi.
Protezione Dentale per Bambini
Per i più piccoli, applichiamo trattamenti mirati come fluoroprofilassi e sigillature dei solchi, barriere protettive che riducono il rischio di carie sui denti permanenti appena erotti. Un investimento semplice per un futuro orale più sano.


Diagnosi e Piano di Cura
Prima di qualsiasi trattamento, è fondamentale comprendere con precisione lo stato di salute orale. La diagnosi accurata è il primo passo verso cure efficaci e sicure.
Radiografie Digitali e TC 3D
Grazie a radiografie digitali ad alta definizione e tomografie computerizzate 3D, possiamo valutare con precisione millimetrica osso, radici e strutture circostanti, minimizzando l’esposizione a radiazioni.
Piano di Cura Trasparente
Dopo l’analisi dei dati clinici, il Dott. Vivaldini o collaboratore, illustra le opzioni terapeutiche, definendo priorità, tempi e costi. La comunicazione chiara e trasparente elimina sorprese e garantisce scelte consapevoli


Odontoiatria Conservativa: Salvare il Dente Naturale
Quando un dente è danneggiato da una carie o da una frattura, la priorità è conservarlo.
Otturazioni Estetiche
Le vecchie otturazioni in amalgama scura sono un ricordo. Oggi utilizziamo compositi di ultima generazione che si legano al dente e ne replicano perfettamente il colore. Il risultato? Un dente curato che sembra semplicemente sano.
Ricostruzioni Dentali
Se la parte danneggiata è estesa, possiamo ricostruire il dente riportandolo alla sua forma e funzione originali. È un po' come restaurare un oggetto di valore: si consolida ciò che è sano e si ricostruisce ciò che è andato perduto.


Endodonzia: Quando Serve la Cura Canalare
Quando la carie raggiunge la polpa dentaria (il "nervo"), l'unica alternativa all'estrazione è la terapia canalare.
Cura dei Canali
L'intervento rimuove il tessuto infetto, disinfetta accuratamente l'interno del dente e lo sigilla. Contrariamente alla fama, con le tecniche attuali è una procedura sicura e generalmente poco fastidiosa. Il dente, una volta curato, può rimanere al suo posto per molti anni.


Parodontologia: La Salute delle Gengive
Spesso trascurate, le gengive sono il fondamento su cui poggiano i denti.
Gengivite: Il Segnale d'Allarme
Se le gengive sanguinano quando ti lavi i denti, non è normale. È un'infiammazione che si chiama gengivite, ed è reversibile se trattata per tempo.
Parodontite: Quando Serve un Intervento più Profondo
Se l'infiammazione si estende all'osso che sostiene i denti, si parla di parodontite. In questi casi è necessario un piano di cure specifiche, che possono includere sedute di igiene profonda e controlli ravvicinati per fermare l'avanzare della malattia.


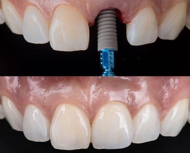
Implantologia: Sostituire i Denti Mancanti
Perdere un dente non è solo una questione estetica. Nel tempo, i denti vicini si spostano e l'osso della mascella tende a riassorbirsi.
Impianti in Titanio
Un impianto è una radice artificiale in titanio che viene inserita nell'osso. Dopo il periodo di integrazione, su di essa viene fissata una corona che sostituisce il dente mancante in modo stabile e duraturo. Mangiare, sorridere e parlare tornano naturali.
Chirurgia Guidata e Precisione Digitale
Oggi possiamo pianificare l'intervento al computer prima ancora di iniziare. Questo ci permette di posizionare l'impianto con estrema precisione, riducendo i tempi chirurgici e il disagio post-operatorio. Una soluzione che offriamo ai pazienti di Gambara e di tutto il territorio tra Brescia, Mantova e Cremona.


Protesi Dentaria: Riabilitare la Bocca
Quando i denti da sostituire sono molti, si parla di riabilitazione protestica.
Protesi Fissa
Corone e ponti vengono cementati sui denti naturali o sugli impianti e non si rimuovono. Offrono stabilità e comfort simili a quelli dei denti naturali.
Protesi Mobile
Le dentiere moderne sono più stabili e naturali rispetto al passato. Possono essere una soluzione efficace per chi ha perso tutti i denti di un'arcata.
Ortodonzia: Apparecchi per Tutte le Età
Allineare i denti non è solo una questione di immagine. Una dentatura allineata è più facile da pulire, riduce il rischio di carie e migliora la masticazione.
Apparecchio Fisso
La soluzione tradizionale, ancora oggi la più indicata per molte malocclusioni complesse.
Allineatori Trasparenti
Per chi cerca un'alternativa discreta, esistono gli allineatori trasparenti - Invisalign. Sono rimovibili, quasi invisibili e permettono di mantenere una normale igiene orale durante tutto il trattamento. Molti adulti che lavorano tra Brescia, Mantova e Cremona scelgono questa opzione proprio per la sua comodità.


pAGINA IN COSTRUZIONE
Allineare i denti non è solo una questione di immagine. Una dentatura allineata è più facile da pulire, riduce il rischio di carie e migliora la masticazione.
Apparecchio Fisso
La soluzione tradizionale, ancora oggi la più indicata per molte malocclusioni complesse.
Allineatori Trasparenti
Per chi cerca un'alternativa discreta, esistono gli allineatori trasparenti. Sono rimovibili, quasi invisibili e permettono di mantenere una normale igiene orale durante tutto il trattamento. Molti adulti che lavorano tra Brescia, Mantova e Cremona scelgono questa opzione proprio per la sua comodità.


Studio Dentistico
dott. Pierluca Vivaldini
via Brescia 28
25020 GAMBARA - Brescia -
Contatti
030 99 56 178
info@vivaldini.it
